CBCT - Cone Beam Miami - Low Radiation

Escaneo CBCT en Miami, FL

CBCT – “Escaneo CT” de haz cónico ULTRA BAJO dosis de radiación

Escaneo CBCT el mismo día

Dentista cerca de mí, dentista cerca de mí, mejor dentista de miami, mejor dentista de miami, pizza cerca de mí, chino cerca de mí, comida cerca de mí, dentista de corona en miami, dentista más barato en miami, dentista de tratamiento de conductos en miami, dentista de tratamiento de conductos en miami más barato

Planmeca Visio G7

Especificaciones: 60-120 kilovoltios

 

Precio $ 250

 con unidad USB o cargado en Google Drive

Cráneo completo hasta C7 de la columna vertebral

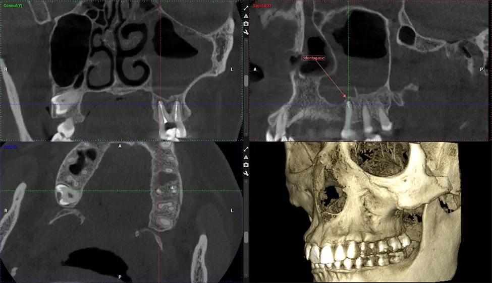
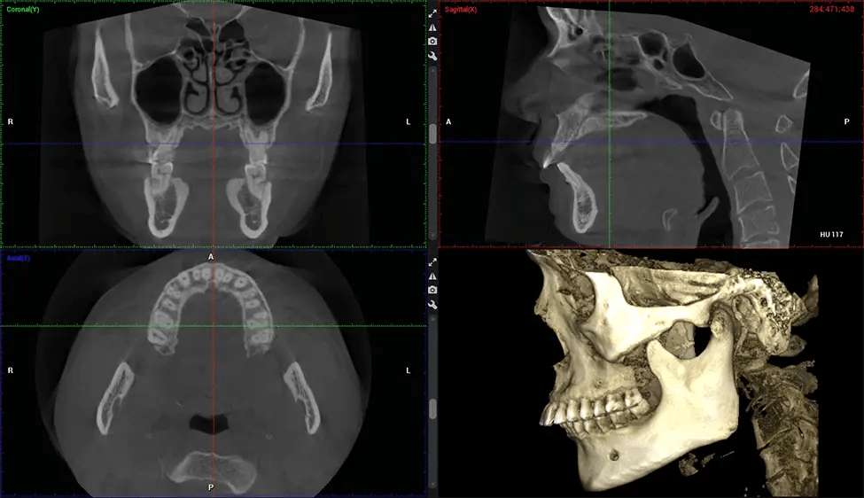
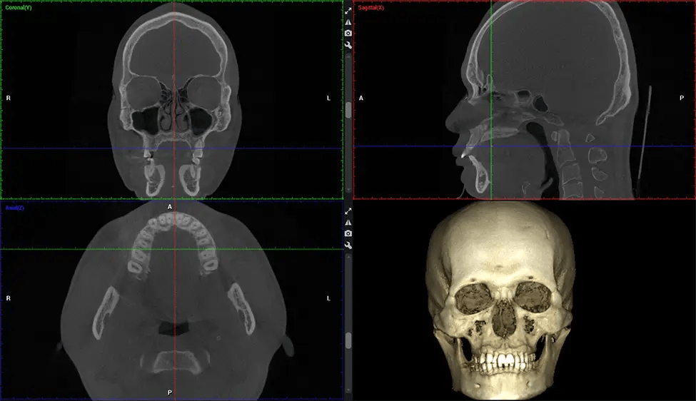
La tomografía computarizada de haz cónico (CBCT) es una técnica de imagen avanzada utilizada en odontología y cirugía maxilofacial para obtener imágenes detalladas en 3D de las estructuras orales y maxilofaciales. En Dr G Dental Studio, nuestros escáneres CBCT utilizan un haz de rayos X en forma de cono y un detector especializado para capturar imágenes desde diferentes ángulos. Luego, una computadora combina estas imágenes para crear una representación 3D de la anatomía oral del paciente.

Esta exploración 3D, llamada tomografía computarizada de haz cónico, le brinda a su dentista una imagen más completa de su anatomía bucal y sus procesos patológicos que una radiografía tradicional. A diferencia de las radiografías convencionales, que capturan una imagen 2D de la boca desde varios ángulos, una exploración 3D toma varias radiografías digitales para una imagen. Proporciona una vista completa de la mandíbula, los dientes, los nervios y los tejidos blandos. Esta vista mejorada permite a los dentistas detectar problemas menores que no son visibles en las exploraciones 2D tradicionales, como muelas del juicio impactadas o fracturas óseas en la cavidad sinusal.

Los beneficios de la CBCT

Existen muchos beneficios al utilizar la tecnología CBCT, especialmente en comparación con el formato tradicional de rayos X 2D. Una de las ventajas más importantes de las exploraciones CBCT es que proporcionan mucha más información que las radiografías tradicionales. Una exploración le permite a su dentista ver imágenes desde todos los ángulos de su mandíbula y boca, incluidos los senos nasales, la cavidad nasal, los pómulos y otras áreas circundantes. Esta información adicional ayuda a su dentista a elaborar un plan de tratamiento integral que aborde todos los aspectos de su salud bucal.

Otro beneficio importante es que las imágenes 3D proporcionan imágenes más precisas de la estructura ósea. Estas imágenes son más detalladas y le brindan un diagnóstico más preciso. Un diagnóstico preciso significa un mejor tratamiento para usted.

Cuando se combina con extracciones, colocación de implantes dentales o injertos óseos, la tecnología CBCT puede brindarle una experiencia más rápida y mucho más cómoda. Esto se debe a que la imagen 3D proporciona una imagen más detallada de toda su cavidad bucal, lo que le permite a su dentista guiarlo en cada paso del proceso antes de que ocurra. Esto a menudo ayuda a los pacientes a sentirse más preparados y cómodos en general, especialmente si han tenido una experiencia traumática con tratamientos dentales anteriores.

El procedimiento de CBCT

Primero se coloca al paciente en el escáner CBCT, que normalmente consta de un brazo giratorio que alberga la fuente de rayos X y un detector. La cabeza del paciente está inmovilizada para garantizar una captura de imágenes precisa. La fuente de rayos X y el detector giran alrededor de la cabeza del paciente, capturando varias imágenes de rayos X desde múltiples ángulos. A medida que la fuente de rayos X gira, emite un haz de rayos X en forma de cono hacia el detector. El detector captura las imágenes de rayos X, que luego son procesadas por el software CBCT.

Después del proceso de escaneo, las imágenes de rayos X capturadas son procesadas por el software CBCT, que aplica algoritmos para reconstruir una imagen 3D detallada del área escaneada. El software recopila estas imágenes de rayos X individuales y crea una representación digital en 3D de la anatomía del paciente. El dentista o el radiólogo pueden ver y analizar la imagen CBCT 3D reconstruida. Esta imagen se puede manipular, rotar y acercar o alejar para examinar estructuras específicas y evaluar la condición del paciente.

___________________________________________

¡Acerca de nuestra tecnología CBCT de última generación que hace que Dr G Dental Study sea el mejor y más grande de Miami!

Dentista cerca de mí, dentista cerca de mí, mejor dentista de miami, mejor dentista de miami, pizza cerca de mí, chino cerca de mí, comida cerca de mí, dentista de corona en miami, dentista más barato en miami, dentista de tratamiento de conductos en miami, dentista de tratamiento de conductos en miami más barato

Planmeca Viso G7 CBCT (Cone Beam CT Scan) está diseñado para superar las demandas de los líderes de la industria, los especialistas y las grandes instituciones. Tiene un gran sensor de ø25×30 cm con cuatro cámaras integradas. Puede capturar tamaños de volumen ilimitados, desde ø3×3 cm hasta ø30x30cm, capturando el casquete escutelario a través de C7 en la columna cervical. Planmeca Viso G7 ofrece el escaneo de volumen único más grande de la industria de ø30×19 cm. Está preparado para manejar modalidades de imágenes avanzadas como la tecnología Planmeca ProFace® y Planmeca 4D™ Jaw Motion. El soporte occipital para la cabeza permite una visión sin obstáculos del tejido facial.

Planmeca es el único fabricante clínicamente probado que reduce drásticamente la radiación del paciente sin sacrificar la calidad de la imagen. Planmeca Ultra Low Dose™ logra una reducción promedio de la dosis del 77% sin una reducción estadística en la calidad de la imagen, lo que permite a los médicos incorporar imágenes 3D en protocolos de rutina con una radiación efectiva al paciente a menudo inferior a la de las imágenes intraorales 2D.. Esto aumenta la atención al paciente, permite a los médicos diagnosticar más odontología y, a menudo, antes en la progresión de la enfermedad, que con imágenes 2D solas.

Las unidades Planmeca 3D también incluyen la única tecnología de corrección y detección de movimiento del paciente de la industria, Planmeca CALM™. Esta tecnología corrige el movimiento durante la adquisición de CBCT reduciendo el riesgo de repeticiones.

Nuestra tecnología SCARA patentada permite a los médicos capturar verdaderas alas de mordida extraorales que son tan precisas para detectar caries como una serie de alas de mordida 2D, pero con la mitad de la dosis de radiación. Con nuestras alas de mordida, los médicos pueden ver los ápices de los dientes en ambas mandíbulas, lo que proporciona una visión más completa de la anatomía de los pacientes.

Los sistemas Planmeca 3D vienen con Autofocus, una tecnología que produce imágenes panorámicas increíblemente claras, incluso en interiores. Esta tecnología diferencia nuestras imágenes 2D de la competencia.

Ir al contenido